<?xml version="1.0" encoding="UTF-8"?><rss version="2.0"
	xmlns:content="http://purl.org/rss/1.0/modules/content/"
	xmlns:wfw="http://wellformedweb.org/CommentAPI/"
	xmlns:dc="http://purl.org/dc/elements/1.1/"
	xmlns:atom="http://www.w3.org/2005/Atom"
	xmlns:sy="http://purl.org/rss/1.0/modules/syndication/"
	xmlns:slash="http://purl.org/rss/1.0/modules/slash/"
	>

<channel>
	<title>Casos clínicos archivo - Ball Head Technology®</title>
	<atom:link href="https://ballheadtechnology.com/en/clinical-cases/feed/" rel="self" type="application/rss+xml" />
	<link>https://ballheadtechnology.com/casos-clinicos/</link>
	<description>Advanced dentistry</description>
	<lastBuildDate>Tue, 10 Mar 2026 08:37:56 +0000</lastBuildDate>
	<language>en-US</language>
	<sy:updatePeriod>
	hourly	</sy:updatePeriod>
	<sy:updateFrequency>
	1	</sy:updateFrequency>
	<generator>https://wordpress.org/?v=6.9.4</generator>

<image>
	<url>https://ballheadtechnology.com/wp-content/uploads/2025/09/cropped-favicon-bht-1-32x32.png</url>
	<title>Casos clínicos archivo - Ball Head Technology®</title>
	<link>https://ballheadtechnology.com/casos-clinicos/</link>
	<width>32</width>
	<height>32</height>
</image> 
	<item>
		<title>Clinical case published in *Dentale Implantologie* (2019): “Esthetics and function with angulated screw channels.”</title>
		<link>https://ballheadtechnology.com/en/clinical-cases/clinical-case-published-in-dentale-implantologie-2019-esthetics-and-function-with-angulated-screw-channels/</link>
		
		<dc:creator><![CDATA[Maria BHT]]></dc:creator>
		<pubDate>Mon, 09 Mar 2026 15:10:33 +0000</pubDate>
				<guid isPermaLink="false">https://ballheadtechnology.com/casos-clinicos/clinical-case-published-in-dentale-implantologie-2019-esthetics-and-function-with-angulated-screw-channels/</guid>

					<description><![CDATA[<p>&#13; Clinical case published in Dentale Implantologie (2019): “Aesthetics and Function with Angulated Screw Channels” &#13;   &#13; a. Initial clinical situation of the patient with advanced periodontal compromise and severe mobility of the teeth. Pre-treatment radiological evaluation was carried out to analyze bone volume and to plan implant placement. &#13; &#13; &#13; b. Digital [&#8230;]</p>
<p>La entrada <a href="https://ballheadtechnology.com/en/clinical-cases/clinical-case-published-in-dentale-implantologie-2019-esthetics-and-function-with-angulated-screw-channels/">Clinical case published in *Dentale Implantologie* (2019): “Esthetics and function with angulated screw channels.”</a> se publicó primero en <a href="https://ballheadtechnology.com/en/">Ball Head Technology®</a>.</p>
]]></description>
										<content:encoded><![CDATA[&#13;
<p>Clinical case published in Dentale Implantologie (2019): “Aesthetics and Function with Angulated Screw Channels”</p>&#13;
<p><img fetchpriority="high" decoding="async" class="size-medium wp-image-2715" src="https://ballheadtechnology.com/wp-content/uploads/2026/03/1-300x170.png" alt="Situaci&#xF3;n cl&#xED;nica inicial del paciente con compromiso periodontal avanzado y movilidad severa de las piezas dentales. Evaluaci&#xF3;n radiol&#xF3;gica previa al tratamiento para el an&#xE1;lisis del volumen &#xF3;seo y la planificaci&#xF3;n de implantes." width="300" height="170" srcset="https://ballheadtechnology.com/wp-content/uploads/2026/03/1-300x170.png 300w, https://ballheadtechnology.com/wp-content/uploads/2026/03/1-768x436.png 768w, https://ballheadtechnology.com/wp-content/uploads/2026/03/1.png 782w" sizes="(max-width: 300px) 100vw, 300px" /> <img decoding="async" class="alignnone size-medium wp-image-2717" src="https://ballheadtechnology.com/wp-content/uploads/2026/03/2-300x170.png" alt="" width="300" height="170" srcset="https://ballheadtechnology.com/wp-content/uploads/2026/03/2-300x170.png 300w, https://ballheadtechnology.com/wp-content/uploads/2026/03/2-768x436.png 768w, https://ballheadtechnology.com/wp-content/uploads/2026/03/2.png 782w" sizes="(max-width: 300px) 100vw, 300px" /> <img decoding="async" class="alignnone size-medium wp-image-2719" src="https://ballheadtechnology.com/wp-content/uploads/2026/03/3-300x170.png" alt="" width="300" height="170" srcset="https://ballheadtechnology.com/wp-content/uploads/2026/03/3-300x170.png 300w, https://ballheadtechnology.com/wp-content/uploads/2026/03/3-768x436.png 768w, https://ballheadtechnology.com/wp-content/uploads/2026/03/3.png 782w" sizes="(max-width: 300px) 100vw, 300px" /></p>&#13;
<p>a. Initial clinical situation of the patient with advanced periodontal compromise and severe mobility of the teeth. Pre-treatment radiological evaluation was carried out to analyze bone volume and to plan implant placement.</p>&#13;
&#13;
<p><img loading="lazy" decoding="async" class="alignnone size-medium wp-image-2721" src="https://ballheadtechnology.com/wp-content/uploads/2026/03/4-300x170.png" alt="Planificaci&#xF3;n digital de la orientaci&#xF3;n de los canales de tornillo, con comparaci&#xF3;n entre canales rectos y angulados. Aplicaci&#xF3;n de canales de tornillo angulados para corregir la angulaci&#xF3;n del implante y desplazar la salida del canal lejos de la zona est&#xE9;tica." width="300" height="170" srcset="https://ballheadtechnology.com/wp-content/uploads/2026/03/4-300x170.png 300w, https://ballheadtechnology.com/wp-content/uploads/2026/03/4-768x436.png 768w, https://ballheadtechnology.com/wp-content/uploads/2026/03/4.png 782w" sizes="(max-width: 300px) 100vw, 300px" /> <img loading="lazy" decoding="async" class="alignnone size-medium wp-image-2723" src="https://ballheadtechnology.com/wp-content/uploads/2026/03/5-300x170.png" alt="" width="300" height="170" srcset="https://ballheadtechnology.com/wp-content/uploads/2026/03/5-300x170.png 300w, https://ballheadtechnology.com/wp-content/uploads/2026/03/5-768x436.png 768w, https://ballheadtechnology.com/wp-content/uploads/2026/03/5.png 782w" sizes="(max-width: 300px) 100vw, 300px" /> <img loading="lazy" decoding="async" class="alignnone size-medium wp-image-2725" src="https://ballheadtechnology.com/wp-content/uploads/2026/03/6-300x170.png" alt="" width="300" height="170" srcset="https://ballheadtechnology.com/wp-content/uploads/2026/03/6-300x170.png 300w, https://ballheadtechnology.com/wp-content/uploads/2026/03/6-768x436.png 768w, https://ballheadtechnology.com/wp-content/uploads/2026/03/6.png 782w" sizes="(max-width: 300px) 100vw, 300px" /></p>&#13;
<p>b. Digital planning of the screw channel orientation, comparing straight and angulated channels. Angulated screw channels were used to correct the implant angulation and to relocate the screw access away from the esthetic zone.</p>&#13;
<p><img loading="lazy" decoding="async" class="alignnone size-medium wp-image-2729" src="https://ballheadtechnology.com/wp-content/uploads/2026/03/7-300x170.png" alt="" width="300" height="170" srcset="https://ballheadtechnology.com/wp-content/uploads/2026/03/7-300x170.png 300w, https://ballheadtechnology.com/wp-content/uploads/2026/03/7-768x436.png 768w, https://ballheadtechnology.com/wp-content/uploads/2026/03/7.png 782w" sizes="(max-width: 300px) 100vw, 300px" /> <img loading="lazy" decoding="async" class="alignnone size-medium wp-image-2731" src="https://ballheadtechnology.com/wp-content/uploads/2026/03/8-300x170.png" alt="" width="300" height="170" srcset="https://ballheadtechnology.com/wp-content/uploads/2026/03/8-300x170.png 300w, https://ballheadtechnology.com/wp-content/uploads/2026/03/8-768x436.png 768w, https://ballheadtechnology.com/wp-content/uploads/2026/03/8.png 782w" sizes="(max-width: 300px) 100vw, 300px" /></p>&#13;
<p><img loading="lazy" decoding="async" class="alignnone size-medium wp-image-2733" src="https://ballheadtechnology.com/wp-content/uploads/2026/03/9-300x170.png" alt="" width="300" height="170" srcset="https://ballheadtechnology.com/wp-content/uploads/2026/03/9-300x170.png 300w, https://ballheadtechnology.com/wp-content/uploads/2026/03/9-768x436.png 768w, https://ballheadtechnology.com/wp-content/uploads/2026/03/9.png 782w" sizes="(max-width: 300px) 100vw, 300px" /> <img loading="lazy" decoding="async" class="alignnone size-medium wp-image-2735" src="https://ballheadtechnology.com/wp-content/uploads/2026/03/10-1-300x170.png" alt="" width="300" height="170" srcset="https://ballheadtechnology.com/wp-content/uploads/2026/03/10-1-300x170.png 300w, https://ballheadtechnology.com/wp-content/uploads/2026/03/10-1-768x436.png 768w, https://ballheadtechnology.com/wp-content/uploads/2026/03/10-1.png 782w" sizes="(max-width: 300px) 100vw, 300px" />  </p>&#13;
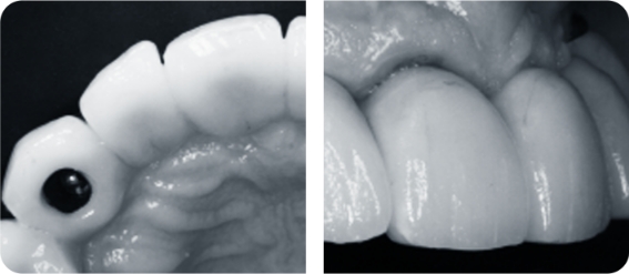
<p>c. Clinical situation after the surgical phase of the treatment, with implant placement and a provisional prosthesis in place.</p>&#13;
<p><img loading="lazy" decoding="async" class="alignnone size-medium wp-image-2753" src="https://ballheadtechnology.com/wp-content/uploads/2026/03/11-2-300x170.png" alt="" width="300" height="170" srcset="https://ballheadtechnology.com/wp-content/uploads/2026/03/11-2-300x170.png 300w, https://ballheadtechnology.com/wp-content/uploads/2026/03/11-2-768x436.png 768w, https://ballheadtechnology.com/wp-content/uploads/2026/03/11-2.png 782w" sizes="(max-width: 300px) 100vw, 300px" /> <img loading="lazy" decoding="async" class="alignnone size-medium wp-image-2755" src="https://ballheadtechnology.com/wp-content/uploads/2026/03/12-1-300x170.png" alt="" width="300" height="170" srcset="https://ballheadtechnology.com/wp-content/uploads/2026/03/12-1-300x170.png 300w, https://ballheadtechnology.com/wp-content/uploads/2026/03/12-1-768x436.png 768w, https://ballheadtechnology.com/wp-content/uploads/2026/03/12-1.png 782w" sizes="(max-width: 300px) 100vw, 300px" />  </p>&#13;
<p><img loading="lazy" decoding="async" class="alignnone wp-image-2751" src="https://ballheadtechnology.com/wp-content/uploads/2026/03/14-300x170.png" alt="" width="295" height="167" srcset="https://ballheadtechnology.com/wp-content/uploads/2026/03/14-300x170.png 300w, https://ballheadtechnology.com/wp-content/uploads/2026/03/14-768x436.png 768w, https://ballheadtechnology.com/wp-content/uploads/2026/03/14.png 782w" sizes="(max-width: 295px) 100vw, 295px" /> <img loading="lazy" decoding="async" class="alignnone wp-image-2749" src="https://ballheadtechnology.com/wp-content/uploads/2026/03/13-300x170.png" alt="" width="307" height="174" srcset="https://ballheadtechnology.com/wp-content/uploads/2026/03/13-300x170.png 300w, https://ballheadtechnology.com/wp-content/uploads/2026/03/13-768x436.png 768w, https://ballheadtechnology.com/wp-content/uploads/2026/03/13.png 782w" sizes="(max-width: 307px) 100vw, 307px" /><br/><strong>d.</strong> Estructura protésica definitiva fresada mediante CAD/CAM con orientación precisa de los canales de tornillo angulados.<br/><img loading="lazy" decoding="async" class="alignnone size-medium wp-image-2757" src="https://ballheadtechnology.com/wp-content/uploads/2026/03/15-300x170.png" alt="Resultado est&#xE9;tico final tras la colocaci&#xF3;n de la pr&#xF3;tesis definitiva, a un paciente con l&#xED;nea de sonrisa alta, sin compromiso visual de los accesos de tornillo." width="300" height="170" srcset="https://ballheadtechnology.com/wp-content/uploads/2026/03/15-300x170.png 300w, https://ballheadtechnology.com/wp-content/uploads/2026/03/15-768x436.png 768w, https://ballheadtechnology.com/wp-content/uploads/2026/03/15.png 782w" sizes="(max-width: 300px) 100vw, 300px" /> <img loading="lazy" decoding="async" class="alignnone size-medium wp-image-2759" src="https://ballheadtechnology.com/wp-content/uploads/2026/03/16-300x170.png" alt="" width="300" height="170" srcset="https://ballheadtechnology.com/wp-content/uploads/2026/03/16-300x170.png 300w, https://ballheadtechnology.com/wp-content/uploads/2026/03/16-768x436.png 768w, https://ballheadtechnology.com/wp-content/uploads/2026/03/16.png 782w" sizes="(max-width: 300px) 100vw, 300px" /><br/><br/>Final esthetic result after placement of the definitive prosthesis in a patient with a high smile line, without visible compromise from the screw access channels. The clinical case was originally published in the scientific journal <em>Dentale Implantologie</em>, Vol. 23, No. 2 (2019).</p>&#13;
<div class="wp-block-columns">&#13;
<div class="wp-block-column">&#13;
<figure class="wp-block-image"></figure>&#13;
</div></div></div>
<p><!-- /wp:post-content --></p>
<p><!-- wp:column --></p>
<div class="wp-block-column"><!-- wp:image {"id":460} --></p>
<figure class="wp-block-image"></figure>
<p><!-- /wp:image --></div>
<p><!-- /wp:column --></div>
<p><!-- /wp:columns --></p>
<p><!-- wp:paragraph --><!-- /wp:columns --></p>
<p><!-- wp:paragraph --><!-- /wp:paragraph --></p>
<p>La entrada <a href="https://ballheadtechnology.com/en/clinical-cases/clinical-case-published-in-dentale-implantologie-2019-esthetics-and-function-with-angulated-screw-channels/">Clinical case published in *Dentale Implantologie* (2019): “Esthetics and function with angulated screw channels.”</a> se publicó primero en <a href="https://ballheadtechnology.com/en/">Ball Head Technology®</a>.</p>
]]></content:encoded>
					
		
		
			</item>
		<item>
		<title>Machined zirconium structure</title>
		<link>https://ballheadtechnology.com/en/clinical-cases/machined-zirconium-structure/</link>
		
		<dc:creator><![CDATA[bhs]]></dc:creator>
		<pubDate>Thu, 19 Jun 2025 13:37:07 +0000</pubDate>
				<guid isPermaLink="false">https://ballheadtechnology.com/nueva/casos-clinicos/machined-zirconium-structure/</guid>

					<description><![CDATA[<p>Framework machined from a Zirconia disc cemented on Titanium BHS30 interfaces. Multiple screw-retained prosthesis in the esthetic anterior sector on straight Multi-Unit abutments in which the direction of the transocclusal canals is corrected. a. Fabrication and adjustment of the model where three BHS30 Titanium Bases are mounted on straight Multi-Unit abutments, which are fixed by [&#8230;]</p>
<p>La entrada <a href="https://ballheadtechnology.com/en/clinical-cases/machined-zirconium-structure/">Machined zirconium structure</a> se publicó primero en <a href="https://ballheadtechnology.com/en/">Ball Head Technology®</a>.</p>
]]></description>
										<content:encoded><![CDATA[
<p>Framework machined from a Zirconia disc cemented on Titanium BHS30 interfaces. Multiple screw-retained prosthesis in the esthetic anterior sector on straight Multi-Unit abutments in which the direction of the transocclusal canals is corrected.</p>

<div class="wp-block-columns is-layout-flex wp-container-core-columns-is-layout-28f84493 wp-block-columns-is-layout-flex">
<div class="wp-block-column is-layout-flow wp-block-column-is-layout-flow">
<figure class="wp-block-image"><img decoding="async" src="https://ballheadtechnology.com/wp-content/uploads/sites/8/2019/07/TECH_STUDYCASE_BHS30_6_A1.jpg" alt="" class="wp-image-464"/></figure>
</div>



<div class="wp-block-column is-layout-flow wp-block-column-is-layout-flow">
<figure class="wp-block-image"><img decoding="async" src="https://ballheadtechnology.com/wp-content/uploads/sites/8/2019/07/TECH_STUDYCASE_BHS30_6_A2.jpg" alt="" class="wp-image-465"/></figure>
</div>
</div>

<p><strong>a.</strong>  Fabrication and adjustment of the model where three BHS30 Titanium Bases are mounted on straight Multi-Unit abutments, which are fixed by means of their corresponding BHS30 MU screws.</p>

<div class="wp-block-columns is-layout-flex wp-container-core-columns-is-layout-28f84493 wp-block-columns-is-layout-flex">
<div class="wp-block-column is-layout-flow wp-block-column-is-layout-flow">
<figure class="wp-block-image"><img decoding="async" src="https://ballheadtechnology.com/wp-content/uploads/sites/8/2019/07/TECH_STUDYCASE_BHS30_6_B1.jpg" alt="" class="wp-image-466"/></figure>
</div>



<div class="wp-block-column is-layout-flow wp-block-column-is-layout-flow">
<figure class="wp-block-image"><img decoding="async" src="https://ballheadtechnology.com/wp-content/uploads/sites/8/2019/07/TECH_STUDYCASE_BHS30_6_B2.jpg" alt="" class="wp-image-467"/></figure>
</div>
</div>

<p><strong>b.</strong>  Scanning of the model with attachments and scanning of interfaces and screws in a second phase.</p>

<div class="wp-block-columns is-layout-flex wp-container-core-columns-is-layout-28f84493 wp-block-columns-is-layout-flex">
<div class="wp-block-column is-layout-flow wp-block-column-is-layout-flow">
<figure class="wp-block-image"><img decoding="async" src="https://ballheadtechnology.com/wp-content/uploads/sites/8/2019/07/TECH_STUDYCASE_BHS30_6_C1.jpg" alt="" class="wp-image-468"/></figure>
</div>



<div class="wp-block-column is-layout-flow wp-block-column-is-layout-flow">
<figure class="wp-block-image"><img decoding="async" src="https://ballheadtechnology.com/wp-content/uploads/sites/8/2019/07/TECH_STUDYCASE_BHS30_6_C2.jpg" alt="" class="wp-image-469"/></figure>
</div>
</div>

<p><strong>c.</strong>  BHS30 solution in multiple esthetic anterior sector prosthesis. Both files (model + attachments) are retrieved and the direction of the transocclusal canals is corrected to optimize their emergence points according to the anatomy of the prosthesis.</p>

<div class="wp-block-columns is-layout-flex wp-container-core-columns-is-layout-28f84493 wp-block-columns-is-layout-flex">
<div class="wp-block-column is-layout-flow wp-block-column-is-layout-flow">
<figure class="wp-block-image"><img decoding="async" src="https://ballheadtechnology.com/wp-content/uploads/sites/8/2019/07/TECH_STUDYCASE_BHS30_6_D1.jpg" alt="" class="wp-image-470"/></figure>
</div>



<div class="wp-block-column is-layout-flow wp-block-column-is-layout-flow">
<figure class="wp-block-image"><img decoding="async" src="https://ballheadtechnology.com/wp-content/uploads/sites/8/2019/07/TECH_STUDYCASE_BHS30_6_D2.jpg" alt="" class="wp-image-471"/></figure>
</div>
</div>

<p><strong>d.</strong>  The framework is machined on a Zirconia (Zr) disk according to the requirements of the design phase and cemented on BHS30 Ti interfaces, facilitating a good fit test result on the model.</p>

<div class="wp-block-columns is-layout-flex wp-container-core-columns-is-layout-28f84493 wp-block-columns-is-layout-flex">
<div class="wp-block-column is-layout-flow wp-block-column-is-layout-flow">
<figure class="wp-block-image"><img decoding="async" src="https://ballheadtechnology.com/wp-content/uploads/sites/8/2019/07/TECH_STUDYCASE_BHS30_6_E1.jpg" alt="" class="wp-image-472"/></figure>
</div>



<div class="wp-block-column is-layout-flow wp-block-column-is-layout-flow">
<figure class="wp-block-image"><img decoding="async" src="https://ballheadtechnology.com/wp-content/uploads/sites/8/2019/07/TECH_STUDYCASE_BHS30_6_E2.jpg" alt="" class="wp-image-473"/></figure>
</div>
</div>

<p><strong>e.</strong>  Final aesthetics of the finished work before placement in the mouth.</p>
<p>La entrada <a href="https://ballheadtechnology.com/en/clinical-cases/machined-zirconium-structure/">Machined zirconium structure</a> se publicó primero en <a href="https://ballheadtechnology.com/en/">Ball Head Technology®</a>.</p>
]]></content:encoded>
					
		
		
			</item>
		<item>
		<title>Vestibularization of the transocclusal canal</title>
		<link>https://ballheadtechnology.com/en/clinical-cases/vestibularization-of-the-transocclusal-canal/</link>
		
		<dc:creator><![CDATA[bhs]]></dc:creator>
		<pubDate>Thu, 19 Jun 2025 13:35:03 +0000</pubDate>
				<guid isPermaLink="false">https://ballheadtechnology.com/nueva/casos-clinicos/vestibularization-of-the-transocclusal-canal/</guid>

					<description><![CDATA[<p>Solution for an upper molar with a very lingualized emergence. The transocclusal canal is corrected to improve functionality and esthetics. a. Unitary prosthesis for an upper molar (26), with very lingualized emergence. The BHS30 solution corrects the transocclusal canal to improve the functionality of the restoration. b. Details of the new direction of the canal [&#8230;]</p>
<p>La entrada <a href="https://ballheadtechnology.com/en/clinical-cases/vestibularization-of-the-transocclusal-canal/">Vestibularization of the transocclusal canal</a> se publicó primero en <a href="https://ballheadtechnology.com/en/">Ball Head Technology®</a>.</p>
]]></description>
										<content:encoded><![CDATA[
<p>Solution for an upper molar with a very lingualized emergence. The transocclusal canal is corrected to improve functionality and esthetics.</p>



<div class="wp-block-columns is-layout-flex wp-container-core-columns-is-layout-28f84493 wp-block-columns-is-layout-flex">
<div class="wp-block-column is-layout-flow wp-block-column-is-layout-flow">
<figure class="wp-block-image"><img decoding="async" class="wp-image-457" src="https://ballheadtechnology.com/wp-content/uploads/sites/8/2019/07/TECH_STUDYCASE_BHS30_5_A1.jpg" alt="" /></figure>
</div>



<div class="wp-block-column is-layout-flow wp-block-column-is-layout-flow">
<figure class="wp-block-image"><img decoding="async" class="wp-image-458" src="https://ballheadtechnology.com/wp-content/uploads/sites/8/2019/07/TECH_STUDYCASE_BHS30_5_A2.jpg" alt="" /></figure>
</div>
</div>



<p><strong>a.</strong> Unitary prosthesis for an upper molar (26), with very lingualized emergence. The BHS30 solution corrects the transocclusal canal to improve the functionality of the restoration.</p>



<div class="wp-block-columns is-layout-flex wp-container-core-columns-is-layout-28f84493 wp-block-columns-is-layout-flex">
<div class="wp-block-column is-layout-flow wp-block-column-is-layout-flow">
<figure class="wp-block-image"><img decoding="async" class="wp-image-459" src="https://ballheadtechnology.com/wp-content/uploads/sites/8/2019/07/TECH_STUDYCASE_BHS30_5_B1.jpg" alt="" /></figure>
</div>



<div class="wp-block-column is-layout-flow wp-block-column-is-layout-flow">
<figure class="wp-block-image"><img decoding="async" class="wp-image-460" src="https://ballheadtechnology.com/wp-content/uploads/sites/8/2019/07/TECH_STUDYCASE_BHS30_5_B2.jpg" alt="" /></figure>
</div>
</div>



<p><strong>b.</strong> Details of the new direction of the canal after placement of the angled BHS30 castable and once the finished piece is attached to the analog, where we can see the increase in the thickness of the palatal wall and the strength of the piece.</p>



<div class="wp-block-columns is-layout-flex wp-container-core-columns-is-layout-28f84493 wp-block-columns-is-layout-flex">
<div class="wp-block-column is-layout-flow wp-block-column-is-layout-flow">
<figure class="wp-block-image"><img decoding="async" class="wp-image-461" src="https://ballheadtechnology.com/wp-content/uploads/sites/8/2019/07/TECH_STUDYCASE_BHS30_5_C1.jpg" alt="" /></figure>
</div>



<div class="wp-block-column is-layout-flow wp-block-column-is-layout-flow">
<figure class="wp-block-image"><img decoding="async" class="wp-image-462" src="https://ballheadtechnology.com/wp-content/uploads/sites/8/2019/07/TECH_STUDYCASE_BHS30_5_C2.jpg" alt="" /></figure>
</div>
</div>



<p><strong>c.</strong> Check the fit of the part on the model, securing it to the analog with the help of the BHS30 Protractor. The access orifice to the transocclusal canal is observed in its new position. This occlusal view shows the easy visual identification of the unique spherical head of the BHS30 screw inside the canal. Final aesthetics of the restoration.</p>
<p>La entrada <a href="https://ballheadtechnology.com/en/clinical-cases/vestibularization-of-the-transocclusal-canal/">Vestibularization of the transocclusal canal</a> se publicó primero en <a href="https://ballheadtechnology.com/en/">Ball Head Technology®</a>.</p>
]]></content:encoded>
					
		
		
			</item>
		<item>
		<title>Multiple esthetic anterior sector prosthesis</title>
		<link>https://ballheadtechnology.com/en/clinical-cases/multiple-esthetic-anterior-sector-prosthesis/</link>
		
		<dc:creator><![CDATA[bhs]]></dc:creator>
		<pubDate>Thu, 19 Jun 2025 13:33:24 +0000</pubDate>
				<guid isPermaLink="false">https://ballheadtechnology.com/nueva/casos-clinicos/multiple-esthetic-anterior-sector-prosthesis/</guid>

					<description><![CDATA[<p>Solution to a prosthetic emergency of a Multi-Unit abutment using the BHS30 system and esthetic finishing that allows us to avoid the invasion of the chewing cusp of the lateral incisor (32). a. Emergency correction of the Multi-Unit abutment using a BHS30 MU M1.4 screw, which avoids invasion of the chewing cusp of the lateral [&#8230;]</p>
<p>La entrada <a href="https://ballheadtechnology.com/en/clinical-cases/multiple-esthetic-anterior-sector-prosthesis/">Multiple esthetic anterior sector prosthesis</a> se publicó primero en <a href="https://ballheadtechnology.com/en/">Ball Head Technology®</a>.</p>
]]></description>
										<content:encoded><![CDATA[
<p>Solution to a prosthetic emergency of a Multi-Unit abutment using the BHS30 system and esthetic finishing that allows us to avoid the invasion of the chewing cusp of the lateral incisor (32).</p>



<div class="wp-block-columns is-layout-flex wp-container-core-columns-is-layout-28f84493 wp-block-columns-is-layout-flex">
<div class="wp-block-column is-layout-flow wp-block-column-is-layout-flow">
<figure class="wp-block-image"><img decoding="async" class="wp-image-450" src="https://ballheadtechnology.com/wp-content/uploads/sites/8/2019/07/TECH_STUDYCASE_BHS30_4_A1.jpg" alt="" /></figure>
</div>



<div class="wp-block-column is-layout-flow wp-block-column-is-layout-flow">
<figure class="wp-block-image"><img decoding="async" class="wp-image-451" src="https://ballheadtechnology.com/wp-content/uploads/sites/8/2019/07/TECH_STUDYCASE_BHS30_4_A2.jpg" alt="" /></figure>
</div>
</div>



<p><strong>a.</strong> Emergency correction of the Multi-Unit abutment using a BHS30 MU M1.4 screw, which avoids invasion of the chewing cusp of the lateral incisor (32).</p>



<div class="wp-block-columns is-layout-flex wp-container-core-columns-is-layout-28f84493 wp-block-columns-is-layout-flex">
<div class="wp-block-column is-layout-flow wp-block-column-is-layout-flow">
<figure class="wp-block-image"><img decoding="async" class="wp-image-452" src="https://ballheadtechnology.com/wp-content/uploads/sites/8/2019/07/TECH_STUDYCASE_BHS30_4_B1.jpg" alt="" /></figure>
</div>



<div class="wp-block-column is-layout-flow wp-block-column-is-layout-flow">
<figure class="wp-block-image"><img decoding="async" class="wp-image-453" src="https://ballheadtechnology.com/wp-content/uploads/sites/8/2019/07/TECH_STUDYCASE_BHS30_4_B2.jpg" alt="" /></figure>
</div>
</div>



<p><strong>b.</strong> Comparison of the optimization of the vertical dimension of the access hole for the fastening screw after completion of the work.</p>



<div class="wp-block-columns is-layout-flex wp-container-core-columns-is-layout-28f84493 wp-block-columns-is-layout-flex">
<div class="wp-block-column is-layout-flow wp-block-column-is-layout-flow">
<figure class="wp-block-image"><img decoding="async" class="wp-image-454" src="https://ballheadtechnology.com/wp-content/uploads/sites/8/2019/07/TECH_STUDYCASE_BHS30_4_C1.jpg" alt="" /></figure>
</div>



<div class="wp-block-column is-layout-flow wp-block-column-is-layout-flow">
<figure class="wp-block-image"><img decoding="async" class="wp-image-455" src="https://ballheadtechnology.com/wp-content/uploads/sites/8/2019/07/TECH_STUDYCASE_BHS30_4_C2.jpg" alt="" /></figure>
</div>
</div>



<p><strong>c.</strong> Visual differentiation of BHS fasteners, which ensures the use of the right tool, protecting the integrity of the bolt head. Final aspect on the vestibular side of the work, with esthetic finish.</p>
<p>La entrada <a href="https://ballheadtechnology.com/en/clinical-cases/multiple-esthetic-anterior-sector-prosthesis/">Multiple esthetic anterior sector prosthesis</a> se publicó primero en <a href="https://ballheadtechnology.com/en/">Ball Head Technology®</a>.</p>
]]></content:encoded>
					
		
		
			</item>
		<item>
		<title>Superior rehabilitation with unfavorable angulations</title>
		<link>https://ballheadtechnology.com/en/clinical-cases/superior-rehabilitation-with-unfavorable-angulations/</link>
		
		<dc:creator><![CDATA[bhs]]></dc:creator>
		<pubDate>Thu, 19 Jun 2025 13:31:30 +0000</pubDate>
				<guid isPermaLink="false">https://ballheadtechnology.com/nueva/casos-clinicos/superior-rehabilitation-with-unfavorable-angulations/</guid>

					<description><![CDATA[<p>The patient came to improve the esthetics of the upper prosthesis made 15 years ago. It is a screw-retained metal-ceramic prosthesis where the vestibular emergence of the implants in 16, 13 and 23 makes it difficult to predict satisfactory esthetics. The treatment is proposed using the BHS30 solution by angling the retaining screws in positions [&#8230;]</p>
<p>La entrada <a href="https://ballheadtechnology.com/en/clinical-cases/superior-rehabilitation-with-unfavorable-angulations/">Superior rehabilitation with unfavorable angulations</a> se publicó primero en <a href="https://ballheadtechnology.com/en/">Ball Head Technology®</a>.</p>
]]></description>
										<content:encoded><![CDATA[
<p>The patient came to improve the esthetics of the upper prosthesis made 15 years ago. It is a screw-retained metal-ceramic prosthesis where the vestibular emergence of the implants in 16, 13 and 23 makes it difficult to predict satisfactory esthetics. The treatment is proposed using the BHS30 solution by angling the retaining screws in positions 16, 13 and 23 and by casting the metal framework using the 30° angled BHS30 castables.</p>

<div class="wp-block-columns is-layout-flex wp-container-core-columns-is-layout-28f84493 wp-block-columns-is-layout-flex">
<div class="wp-block-column is-layout-flow wp-block-column-is-layout-flow">
<figure class="wp-block-image"><img decoding="async" src="https://ballheadtechnology.com/wp-content/uploads/sites/8/2019/07/TECH_STUDYCASE_BHS30_3_A1.jpg" alt="" class="wp-image-433"/></figure>
</div>



<div class="wp-block-column is-layout-flow wp-block-column-is-layout-flow">
<figure class="wp-block-image"><img decoding="async" src="https://ballheadtechnology.com/wp-content/uploads/sites/8/2019/07/TECH_STUDYCASE_BHS30_3_A2.jpg" alt="" class="wp-image-434"/></figure>
</div>
</div>

<p><strong>a.</strong>  Initial situation of the prosthesis, with severe esthetic and functional compromise, given the wear and misalignment of the structure.</p>

<div class="wp-block-columns is-layout-flex wp-container-core-columns-is-layout-28f84493 wp-block-columns-is-layout-flex">
<div class="wp-block-column is-layout-flow wp-block-column-is-layout-flow">
<figure class="wp-block-image"><img decoding="async" src="https://ballheadtechnology.com/wp-content/uploads/sites/8/2019/07/TECH_STUDYCASE_BHS30_3_B1.jpg" alt="" class="wp-image-435"/></figure>
</div>



<div class="wp-block-column is-layout-flow wp-block-column-is-layout-flow">
<figure class="wp-block-image"><img decoding="async" src="https://ballheadtechnology.com/wp-content/uploads/sites/8/2019/07/TECH_STUDYCASE_BHS30_3_B2.jpg" alt="" class="wp-image-436"/></figure>
</div>
</div>

<p><strong>b.</strong>  After removal of the initial prosthetic structure, an analysis of the emergences is performed, contrasted by the direction of the abutments and castables in the model.</p>

<div class="wp-block-columns is-layout-flex wp-container-core-columns-is-layout-28f84493 wp-block-columns-is-layout-flex">
<div class="wp-block-column is-layout-flow wp-block-column-is-layout-flow">
<figure class="wp-block-image"><img decoding="async" src="https://ballheadtechnology.com/wp-content/uploads/sites/8/2019/07/TECH_STUDYCASE_BHS30_3_C1.jpg" alt="" class="wp-image-437"/></figure>
</div>



<div class="wp-block-column is-layout-flow wp-block-column-is-layout-flow">
<figure class="wp-block-image"><img decoding="async" src="https://ballheadtechnology.com/wp-content/uploads/sites/8/2019/07/TECH_STUDYCASE_BHS30_3_C2.jpg" alt="" class="wp-image-438"/></figure>
</div>
</div>

<p><strong>c.</strong>  Correction of compromised emergencies with BHS30 calcinable cylinders angled at 30º.</p>

<div class="wp-block-columns is-layout-flex wp-container-core-columns-is-layout-28f84493 wp-block-columns-is-layout-flex">
<div class="wp-block-column is-layout-flow wp-block-column-is-layout-flow">
<figure class="wp-block-image"><img decoding="async" src="https://ballheadtechnology.com/wp-content/uploads/sites/8/2019/07/TECH_STUDYCASE_BHS30_3_D1.jpg" alt="" class="wp-image-439"/></figure>
</div>



<div class="wp-block-column is-layout-flow wp-block-column-is-layout-flow">
<figure class="wp-block-image"><img decoding="async" src="https://ballheadtechnology.com/wp-content/uploads/sites/8/2019/07/TECH_STUDYCASE_BHS30_3_D2.jpg" alt="" class="wp-image-440"/></figure>
</div>
</div>

<p><strong>d.</strong>  Fabrication of the cast prosthetic structure and verification of the fit of the work, on the model and in the mouth.</p>

<div class="wp-block-columns is-layout-flex wp-container-core-columns-is-layout-28f84493 wp-block-columns-is-layout-flex">
<div class="wp-block-column is-layout-flow wp-block-column-is-layout-flow">
<figure class="wp-block-image"><img decoding="async" src="https://ballheadtechnology.com/wp-content/uploads/sites/8/2019/07/TECH_STUDYCASE_BHS30_3_E1.jpg" alt="" class="wp-image-441"/></figure>
</div>



<div class="wp-block-column is-layout-flow wp-block-column-is-layout-flow">
<figure class="wp-block-image"><img decoding="async" src="https://ballheadtechnology.com/wp-content/uploads/sites/8/2019/07/TECH_STUDYCASE_BHS30_3_E2.jpg" alt="" class="wp-image-442"/></figure>
</div>
</div>

<p><strong>e.</strong>  Anatomy modeling on the structure and bisque tests.</p>

<div class="wp-block-columns is-layout-flex wp-container-core-columns-is-layout-28f84493 wp-block-columns-is-layout-flex">
<div class="wp-block-column is-layout-flow wp-block-column-is-layout-flow">
<figure class="wp-block-image"><img decoding="async" src="https://ballheadtechnology.com/wp-content/uploads/sites/8/2019/07/TECH_STUDYCASE_BHS30_3_F1.jpg" alt="" class="wp-image-443"/></figure>
</div>



<div class="wp-block-column is-layout-flow wp-block-column-is-layout-flow">
<figure class="wp-block-image"><img decoding="async" src="https://ballheadtechnology.com/wp-content/uploads/sites/8/2019/07/TECH_STUDYCASE_BHS30_3_F2.jpg" alt="" class="wp-image-444"/></figure>
</div>
</div>

<p><strong>f.</strong>  Appearance of the prosthesis once glazed and with definitive staining, and placement protocol using the BHS30 system.</p>

<div class="wp-block-columns is-layout-flex wp-container-core-columns-is-layout-28f84493 wp-block-columns-is-layout-flex">
<div class="wp-block-column is-layout-flow wp-block-column-is-layout-flow">
<figure class="wp-block-image"><img decoding="async" src="https://ballheadtechnology.com/wp-content/uploads/sites/8/2019/07/TECH_STUDYCASE_BHS30_3_G1.jpg" alt="" class="wp-image-445"/></figure>
</div>



<div class="wp-block-column is-layout-flow wp-block-column-is-layout-flow">
<figure class="wp-block-image"><img decoding="async" src="https://ballheadtechnology.com/wp-content/uploads/sites/8/2019/07/TECH_STUDYCASE_BHS30_3_G2.jpg" alt="" class="wp-image-446"/></figure>
</div>
</div>

<p><strong>g.</strong>  Operative placement and application of torque on the retaining screws for the fixation of the structure in the mouth.</p>

<div class="wp-block-columns is-layout-flex wp-container-core-columns-is-layout-28f84493 wp-block-columns-is-layout-flex">
<div class="wp-block-column is-layout-flow wp-block-column-is-layout-flow">
<figure class="wp-block-image"><img decoding="async" src="https://ballheadtechnology.com/wp-content/uploads/sites/8/2019/07/TECH_STUDYCASE_BHS30_3_H1.jpg" alt="" class="wp-image-447"/></figure>
</div>



<div class="wp-block-column is-layout-flow wp-block-column-is-layout-flow">
<figure class="wp-block-image"><img decoding="async" src="https://ballheadtechnology.com/wp-content/uploads/sites/8/2019/07/TECH_STUDYCASE_BHS30_3_H2.jpg" alt="" class="wp-image-448"/></figure>
</div>
</div>

<p><strong>h.</strong>  Detail of the adjustment and vestibular emergencies of the corrected implants and final result, with esthetic and functional success, with significant improvement of the patient&#8217;s smile line.</p>
<p>La entrada <a href="https://ballheadtechnology.com/en/clinical-cases/superior-rehabilitation-with-unfavorable-angulations/">Superior rehabilitation with unfavorable angulations</a> se publicó primero en <a href="https://ballheadtechnology.com/en/">Ball Head Technology®</a>.</p>
]]></content:encoded>
					
		
		
			</item>
		<item>
		<title>Esthetic compromise due to vestibular emergence of implants</title>
		<link>https://ballheadtechnology.com/en/clinical-cases/esthetic-compromise-due-to-vestibular-emergence-of-implants/</link>
		
		<dc:creator><![CDATA[bhs]]></dc:creator>
		<pubDate>Mon, 16 Jun 2025 08:05:29 +0000</pubDate>
				<guid isPermaLink="false">https://ballheadtechnology.com/nueva/casos-clinicos/esthetic-compromise-due-to-vestibular-emergence-of-implants/</guid>

					<description><![CDATA[<p>Patient presented with a partial upper prosthesis in the anterior sector cemented on angled intermediate abutments. He came to correct a severe esthetic compromise caused by the uncomfortable emergence profile of the implants in 12, 21 and 22, combined with insufficient gingival volume in the area, which caused the exposure of the metal shoulders of [&#8230;]</p>
<p>La entrada <a href="https://ballheadtechnology.com/en/clinical-cases/esthetic-compromise-due-to-vestibular-emergence-of-implants/">Esthetic compromise due to vestibular emergence of implants</a> se publicó primero en <a href="https://ballheadtechnology.com/en/">Ball Head Technology®</a>.</p>
]]></description>
										<content:encoded><![CDATA[
<p>Patient presented with a partial upper prosthesis in the anterior sector cemented on angled intermediate abutments. He came to correct a severe esthetic compromise caused by the uncomfortable emergence profile of the implants in 12, 21 and 22, combined with insufficient gingival volume in the area, which caused the exposure of the metal shoulders of the abutments. It was decided to remove the angled abutments and make a new cast structure, direct to implant, with angulation correction using the BHS30 angulable solution and 30º rotating casts for the three implants.</p>



<div class="wp-block-columns is-layout-flex wp-container-core-columns-is-layout-28f84493 wp-block-columns-is-layout-flex">
<div class="wp-block-column is-layout-flow wp-block-column-is-layout-flow">
<figure class="wp-block-image"><img decoding="async" class="wp-image-421" src="https://ballheadtechnology.com/wp-content/uploads/sites/8/2019/07/TECH_STUDYCASE_BHS30_2_A1.jpg" alt="" /></figure>
</div>



<div class="wp-block-column is-layout-flow wp-block-column-is-layout-flow">
<figure class="wp-block-image"><img decoding="async" class="wp-image-422" src="https://ballheadtechnology.com/wp-content/uploads/sites/8/2019/07/TECH_STUDYCASE_BHS30_2_A2.jpg" alt="" /></figure>
</div>
</div>



<p><strong>a.</strong> Initial situation of the case, after removal of the structure, with exposed profile at 12 and 22.</p>



<div class="wp-block-columns is-layout-flex wp-container-core-columns-is-layout-28f84493 wp-block-columns-is-layout-flex">
<div class="wp-block-column is-layout-flow wp-block-column-is-layout-flow">
<figure class="wp-block-image"><img decoding="async" class="wp-image-423" src="https://ballheadtechnology.com/wp-content/uploads/sites/8/2019/07/TECH_STUDYCASE_BHS30_2_B1.jpg" alt="" /></figure>
</div>



<div class="wp-block-column is-layout-flow wp-block-column-is-layout-flow">
<figure class="wp-block-image"><img decoding="async" class="wp-image-424" src="https://ballheadtechnology.com/wp-content/uploads/sites/8/2019/07/TECH_STUDYCASE_BHS30_2_B2.jpg" alt="" /></figure>
</div>
</div>



<p><strong>b.</strong> Correction of emergencies with direct-to-implant structure (I).</p>



<div class="wp-block-columns is-layout-flex wp-container-core-columns-is-layout-28f84493 wp-block-columns-is-layout-flex">
<div class="wp-block-column is-layout-flow wp-block-column-is-layout-flow">
<figure class="wp-block-image"><img decoding="async" class="wp-image-425" src="https://ballheadtechnology.com/wp-content/uploads/sites/8/2019/07/TECH_STUDYCASE_BHS30_2_C1.jpg" alt="" /></figure>
</div>



<div class="wp-block-column is-layout-flow wp-block-column-is-layout-flow">
<figure class="wp-block-image"><img decoding="async" class="wp-image-426" src="https://ballheadtechnology.com/wp-content/uploads/sites/8/2019/07/TECH_STUDYCASE_BHS30_2_C2.jpg" alt="" /></figure>
</div>
</div>



<p><strong>c.</strong> Correction of emergencies with direct-to-implant structure (II).</p>



<div class="wp-block-columns is-layout-flex wp-container-core-columns-is-layout-28f84493 wp-block-columns-is-layout-flex">
<div class="wp-block-column is-layout-flow wp-block-column-is-layout-flow">
<figure class="wp-block-image"><img decoding="async" class="wp-image-427" src="https://ballheadtechnology.com/wp-content/uploads/sites/8/2019/07/TECH_STUDYCASE_BHS30_2_D1.jpg" alt="" /></figure>
</div>



<div class="wp-block-column is-layout-flow wp-block-column-is-layout-flow">
<figure class="wp-block-image"><img decoding="async" class="wp-image-428" src="https://ballheadtechnology.com/wp-content/uploads/sites/8/2019/07/TECH_STUDYCASE_BHS30_2_D2.jpg" alt="" /></figure>
</div>
</div>



<p><strong>d.</strong> Metal structure, ceramic back-loaded, with access holes on the lingual side.</p>



<div class="wp-block-columns is-layout-flex wp-container-core-columns-is-layout-28f84493 wp-block-columns-is-layout-flex">
<div class="wp-block-column is-layout-flow wp-block-column-is-layout-flow">
<figure class="wp-block-image"><img decoding="async" class="wp-image-429" src="https://ballheadtechnology.com/wp-content/uploads/sites/8/2019/07/TECH_STUDYCASE_BHS30_2_E1.jpg" alt="" /></figure>
</div>



<div class="wp-block-column is-layout-flow wp-block-column-is-layout-flow">
<figure class="wp-block-image"><img decoding="async" class="wp-image-430" src="https://ballheadtechnology.com/wp-content/uploads/sites/8/2019/07/TECH_STUDYCASE_BHS30_2_E2.jpg" alt="" /></figure>
</div>
</div>



<p><strong>e.</strong> Placement of the structure in the mouth, with esthetic success in the compromise positions.</p>
<p>La entrada <a href="https://ballheadtechnology.com/en/clinical-cases/esthetic-compromise-due-to-vestibular-emergence-of-implants/">Esthetic compromise due to vestibular emergence of implants</a> se publicó primero en <a href="https://ballheadtechnology.com/en/">Ball Head Technology®</a>.</p>
]]></content:encoded>
					
		
		
			</item>
		<item>
		<title>Switching from angled to straight multi-units and angulation correction</title>
		<link>https://ballheadtechnology.com/en/clinical-cases/switching-from-angled-to-straight-multi-units-and-angulation-correction/</link>
		
		<dc:creator><![CDATA[bhs]]></dc:creator>
		<pubDate>Mon, 16 Jun 2025 08:02:15 +0000</pubDate>
				<guid isPermaLink="false">https://ballheadtechnology.com/nueva/casos-clinicos/switching-from-angled-to-straight-multi-units-and-angulation-correction/</guid>

					<description><![CDATA[<p>Patient with a fixed anterior prosthesis cemented on natural teeth, whose recent fracture causes mobility and instability of the prosthesis. He comes in search of a solution to improve the esthetics of his smile. Initially, a treatment based on the removal of the prosthesis and the damaged teeth, and the placement of four implants in [&#8230;]</p>
<p>La entrada <a href="https://ballheadtechnology.com/en/clinical-cases/switching-from-angled-to-straight-multi-units-and-angulation-correction/">Switching from angled to straight multi-units and angulation correction</a> se publicó primero en <a href="https://ballheadtechnology.com/en/">Ball Head Technology®</a>.</p>
]]></description>
										<content:encoded><![CDATA[
<p><a href="https://ballheadtechnology.com/wp-admin/edit.php?post_type=casos-clinicos"></a></p>

<p>Patient with a fixed anterior prosthesis cemented on natural teeth, whose recent fracture causes mobility and instability of the prosthesis. He comes in search of a solution to improve the esthetics of his smile. Initially, a treatment based on the removal of the prosthesis and the damaged teeth, and the placement of four implants in positions 22, 21, 12 and 14, correcting their emergence profile by means of conical transepithelial abutments angled at 17 degrees, was chosen. Subsequently, the resorption of the gingiva uncovered the shoulder of one of the abutments and it was decided to replace them with straight Multiunits, saving the vestibular emergence by means of BHS30 sockets at 20 degrees and BHS30 screws.</p>

<div class="wp-block-columns is-layout-flex wp-container-core-columns-is-layout-28f84493 wp-block-columns-is-layout-flex">
<div class="wp-block-column is-layout-flow wp-block-column-is-layout-flow">
<figure class="wp-block-image"><img decoding="async" src="https://ballheadtechnology.com/wp-content/uploads/sites/8/2019/07/TECH_STUDYCASE_BHS30_1_A1.jpg" alt="" class="wp-image-398"/></figure>
</div>



<div class="wp-block-column is-layout-flow wp-block-column-is-layout-flow">
<figure class="wp-block-image"><img decoding="async" src="https://ballheadtechnology.com/wp-content/uploads/sites/8/2019/07/TECH_STUDYCASE_BHS30_1_A2.jpg" alt="" class="wp-image-399"/></figure>
</div>
</div>

<p><strong>a.</strong>  Initial scenario of the case after the diagnostic visit, where the deterioration of the anterior cemented prosthesis is observed.</p>

<div class="wp-block-columns is-layout-flex wp-container-core-columns-is-layout-28f84493 wp-block-columns-is-layout-flex">
<div class="wp-block-column is-layout-flow wp-block-column-is-layout-flow">
<figure class="wp-block-image"><img decoding="async" src="https://ballheadtechnology.com/wp-content/uploads/sites/8/2019/07/TECH_STUDYCASE_BHS30_1_B1.jpg" alt="" class="wp-image-400"/></figure>
</div>



<div class="wp-block-column is-layout-flow wp-block-column-is-layout-flow">
<figure class="wp-block-image"><img decoding="async" src="https://ballheadtechnology.com/wp-content/uploads/sites/8/2019/07/TECH_STUDYCASE_BHS30_1_B2.jpg" alt="" class="wp-image-401"/></figure>
</div>
</div>

<p><strong>b.</strong>  After designing the treatment plan, the laboratory makes a temporary acrylic structure for immediate loading to be screwed on four implants, whose vestibular emergence profile is corrected by placing Multi-Unit abutments angled at 17º.</p>

<div class="wp-block-columns is-layout-flex wp-container-core-columns-is-layout-28f84493 wp-block-columns-is-layout-flex">
<div class="wp-block-column is-layout-flow wp-block-column-is-layout-flow">
<figure class="wp-block-image"><img decoding="async" src="https://ballheadtechnology.com/wp-content/uploads/sites/8/2019/07/TECH_STUDYCASE_BHS30_1_C1.jpg" alt="" class="wp-image-402"/></figure>
</div>



<div class="wp-block-column is-layout-flow wp-block-column-is-layout-flow">
<figure class="wp-block-image"><img decoding="async" src="https://ballheadtechnology.com/wp-content/uploads/sites/8/2019/07/TECH_STUDYCASE_BHS30_1_C2.jpg" alt="" class="wp-image-403"/></figure>
</div>
</div>

<p><strong>c.</strong>  After removal of the damaged structure and natural teeth, implants are inserted and immediate loading is performed, with good esthetic results.</p>

<div class="wp-block-columns is-layout-flex wp-container-core-columns-is-layout-28f84493 wp-block-columns-is-layout-flex">
<div class="wp-block-column is-layout-flow wp-block-column-is-layout-flow">
<figure class="wp-block-image"><img decoding="async" src="https://ballheadtechnology.com/wp-content/uploads/sites/8/2019/07/TECH_STUDYCASE_BHS30_1_D1.jpg" alt="" class="wp-image-404"/></figure>
</div>



<div class="wp-block-column is-layout-flow wp-block-column-is-layout-flow">
<figure class="wp-block-image"><img decoding="async" src="https://ballheadtechnology.com/wp-content/uploads/sites/8/2019/07/TECH_STUDYCASE_BHS30_1_D2.jpg" alt="" class="wp-image-405"/></figure>
</div>
</div>

<p><strong>d.</strong>  After 8 months, due to the resorption of the gingival tissue, the shoulder of the transepithelial in position 14 is exposed.</p>

<div class="wp-block-columns is-layout-flex wp-container-core-columns-is-layout-28f84493 wp-block-columns-is-layout-flex">
<div class="wp-block-column is-layout-flow wp-block-column-is-layout-flow">
<figure class="wp-block-image"><img decoding="async" src="https://ballheadtechnology.com/wp-content/uploads/sites/8/2019/07/TECH_STUDYCASE_BHS30_1_E1.jpg" alt="" class="wp-image-406"/></figure>
</div>



<div class="wp-block-column is-layout-flow wp-block-column-is-layout-flow">
<figure class="wp-block-image"><img decoding="async" src="https://ballheadtechnology.com/wp-content/uploads/sites/8/2019/07/TECH_STUDYCASE_BHS30_1_E2.jpg" alt="" class="wp-image-407"/></figure>
</div>
</div>

<p><strong>e.</strong>  The angled abutments are replaced by straight Multi-Unit abutments, with a 1 mm shoulder, to reduce the profile of the prosthesis.</p>

<div class="wp-block-columns is-layout-flex wp-container-core-columns-is-layout-28f84493 wp-block-columns-is-layout-flex">
<div class="wp-block-column is-layout-flow wp-block-column-is-layout-flow">
<figure class="wp-block-image"><img decoding="async" src="https://ballheadtechnology.com/wp-content/uploads/sites/8/2019/07/TECH_STUDYCASE_BHS30_1_F1.jpg" alt="" class="wp-image-408"/></figure>
</div>



<div class="wp-block-column is-layout-flow wp-block-column-is-layout-flow">
<figure class="wp-block-image"><img decoding="async" src="https://ballheadtechnology.com/wp-content/uploads/sites/8/2019/07/TECH_STUDYCASE_BHS30_1_F2.jpg" alt="" class="wp-image-409"/></figure>
</div>
</div>

<p><strong>f.</strong>  Taking impressions with open tray for the reconstruction of the laboratory model. The printing pillars show emergencies we face.</p>

<div class="wp-block-columns is-layout-flex wp-container-core-columns-is-layout-28f84493 wp-block-columns-is-layout-flex">
<div class="wp-block-column is-layout-flow wp-block-column-is-layout-flow">
<figure class="wp-block-image"><img decoding="async" src="https://ballheadtechnology.com/wp-content/uploads/sites/8/2019/07/TECH_STUDYCASE_BHS30_1_G1.jpg" alt="" class="wp-image-410"/></figure>
</div>



<div class="wp-block-column is-layout-flow wp-block-column-is-layout-flow">
<figure class="wp-block-image"><img decoding="async" src="https://ballheadtechnology.com/wp-content/uploads/sites/8/2019/07/TECH_STUDYCASE_BHS30_1_G2.jpg" alt="" class="wp-image-411"/></figure>
</div>
</div>

<p><strong>g.</strong>  Once the straight Multi-Units have been incorporated into the model, the prosthesis is fabricated by casting on 20º BHS30 angled castable cylinders, which will be fixed to the Multi-Unit abutments with compatible BHS30 screws.</p>

<div class="wp-block-columns is-layout-flex wp-container-core-columns-is-layout-28f84493 wp-block-columns-is-layout-flex">
<div class="wp-block-column is-layout-flow wp-block-column-is-layout-flow">
<figure class="wp-block-image"><img decoding="async" src="https://ballheadtechnology.com/wp-content/uploads/sites/8/2019/07/TECH_STUDYCASE_BHS30_1_H1.jpg" alt="" class="wp-image-412"/></figure>
</div>



<div class="wp-block-column is-layout-flow wp-block-column-is-layout-flow">
<figure class="wp-block-image"><img decoding="async" src="https://ballheadtechnology.com/wp-content/uploads/sites/8/2019/07/TECH_STUDYCASE_BHS30_1_H2.jpg" alt="" class="wp-image-413"/></figure>
</div>
</div>

<p><strong>h.</strong>  After a successful bisque test, the ceramic is glazed and the prosthesis is screwed into the mouth.</p>
<p>La entrada <a href="https://ballheadtechnology.com/en/clinical-cases/switching-from-angled-to-straight-multi-units-and-angulation-correction/">Switching from angled to straight multi-units and angulation correction</a> se publicó primero en <a href="https://ballheadtechnology.com/en/">Ball Head Technology®</a>.</p>
]]></content:encoded>
					
		
		
			</item>
	</channel>
</rss>
