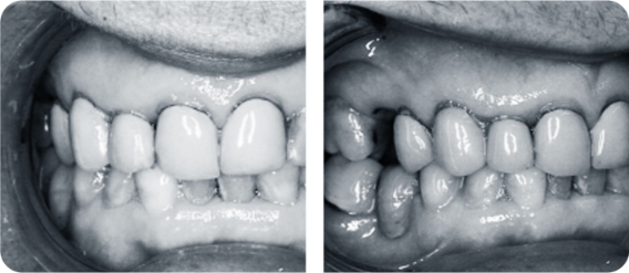
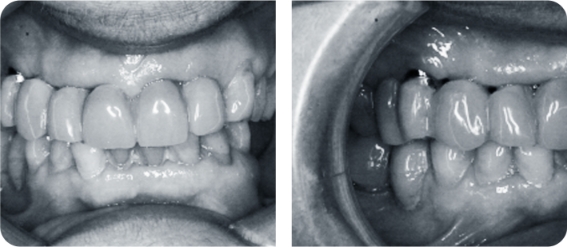
Paciente que presenta una prótesis anterior fija cementada sobre muñones en dientes naturales, cuya reciente fractura provoca movilidad e inestabilidad de la prótesis. Acude en busca de solución que mejore la estética de su sonrisa. Inicialmente, se opta por un tratamiento basado en la remoción de la prótesis y los dientes dañados, y la colocación de cuatro implantes en posiciones 22, 21, 12 y 14, corrigiendo su perfil de emergencia por medio de pilares transepiteliales cónicos angulados a 17 grados. Posteriormente, la reabsorción de la encía descubre el hombro de uno de los pilares y se decide sustituirlos por Multiunit rectos, salvando la emergencia vestibular mediante calcinables BHS30 a 20 grados y tornillos BHS30.


a. Escenario inicial del caso tras la visita diagnóstica, donde se observa el deterioro de la prótesis cementada anterior.


b. Después de diseñar el plan de tratamiento, el laboratorio confecciona una estructura provisional en acrílico para una carga inmediata para atornillar sobre cuatro implantes, cuyo perfil de emergencia vestibular se corrige mediante la colocación de pilares Multi-Unit angulados a 17º.


c. Tras la remoción de la estructura dañada y de los dientes naturales, se insertan los implantes y se realiza la carga inmediata, con buen resultado estético.


d. Al cabo de 8 meses, y por causa de la reabsorción del tejido gingival, el hombro del transepitelial en la posición 14 queda al descubierto.


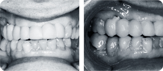
e. Se sustituyen los pilares angulados por Multi-Unit rectos, de 1 mm de hombro, para rebajar el perfil de la prótesis.


f. Toma de impresiones con cubeta abierta para la reconstrucción del modelo de laboratorio. Los pilares de impresión muestran emergencias que enfrentamos.


g. Una vez incorporados los Multi-Unit rectos al modelo se confecciona la prótesis, mediante colado sobre cilindros calcinables angulados BHS30 a 20º, que se fijará a los pilares Multi-Unit con tornillos BHS30 compatibles.


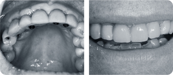
h. Tras la prueba de bizcocho satisfactoria, se glasea la cerámica y se atornilla la prótesis en boca.