Caso clínico publicado en Dentale Implantologie (2019): “Estética y función con canales angulados”

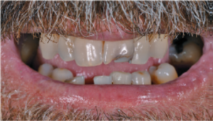
a. Situación clínica inicial del paciente con compromiso periodontal avanzado y movilidad severa de las piezas dentales. Evaluación radiológica previa al tratamiento para el análisis del volumen óseo y la planificación de implantes.

b. Planificación digital de la orientación de los canales de tornillo, con comparación entre canales rectos y angulados. Aplicación de canales de tornillo angulados para corregir la angulación del implante y desplazar la salida del canal lejos de la zona estética.

c. Situación clínica tras la fase quirúrgica del tratamiento, con colocación de implantes y prótesis provisional.

d. Estructura protésica definitiva fresada mediante CAD/CAM con orientación precisa de los canales de tornillo angulados.

Resultado estético final tras la colocación de la prótesis definitiva, a un paciente con línea de sonrisa alta, sin compromiso visual de los accesos de tornillo. Caso clínico publicado originalmente en la revista científica Dentale Implantologie, Vol. 23, nº 2 (2019).